新闻详情

媲美PD-1的靶点和药物

2018年11月,北京旌准医疗科技有限公司同北京天广实生物技术股份有限公司达成战略合作,旌准医疗将在天广实特有的Claudin 18.2抗体药物的基础上,开发Claudin 18.2靶点伴随诊断检测试剂盒。

药物和伴随诊断协同开发的案例已经在国外屡见不鲜,而在国内却凤毛麟角。在“精准医疗”的国家战略指导下,旌准医疗和天广实将是引领国内制药和诊断企业合作的先驱者。

20190918-011.jpg

CLDN18基因(Gene ID: 51208)定位于3号染色体,现已发现其mRNA有Claudin-18 isoform 1、Claudin-18 isoform 2两种剪接体,分别编码CLDN18.1和CLDN18.2两种蛋白亚型,二者具有不同的肽链序列。其编码的CLDN蛋白是构成上皮和内皮细胞之间及其与基底质膜间紧密连接的骨架蛋白,在维持细胞正常结构和功能发挥过程中起重要作用。现已发现的CLDN家族蛋白共27种,分子量为22~27 kDa,不同的家族成员在不同组织和器官中的表达具有组织特异性。当机体内外各种因素导致CLDN结构或表达发生异常时,细胞间紧密连接将遭到破坏,导致细胞极性丧失、组织通透性提高和屏障功能受损,进一步引起多种疾病。

研究证实,在人体正常组织中,CLDN18.1仅在肺组织中高度表达,CLDN18.2则仅在胃组织已分化的胃粘膜上皮细胞表达。但是,在很大比例的恶性肿瘤病例中,例如:胃肠道腺癌(~80%)、食管腺癌(~70%)、胰腺癌(~60%)、非小细胞肺癌(~40%)、卵巢癌(~10%),CLND18.2均呈阳性表达。有研究根据胃癌组织所表达的CLDN蛋白类型,将其分为G-CLDN(表达CLDN 18)、I-CLDN(表达CLDN 3、4)和U-CLDN(不表达CLDN)三种,发现与G-CLDN和I-CLDN比较,U-CLDN型胃癌的浸润深度、血管侵犯和淋巴结转移更为明显,且预后不良。进一步的体外研究发现,CLDN18.2参与了胃癌细胞的增殖和趋化。

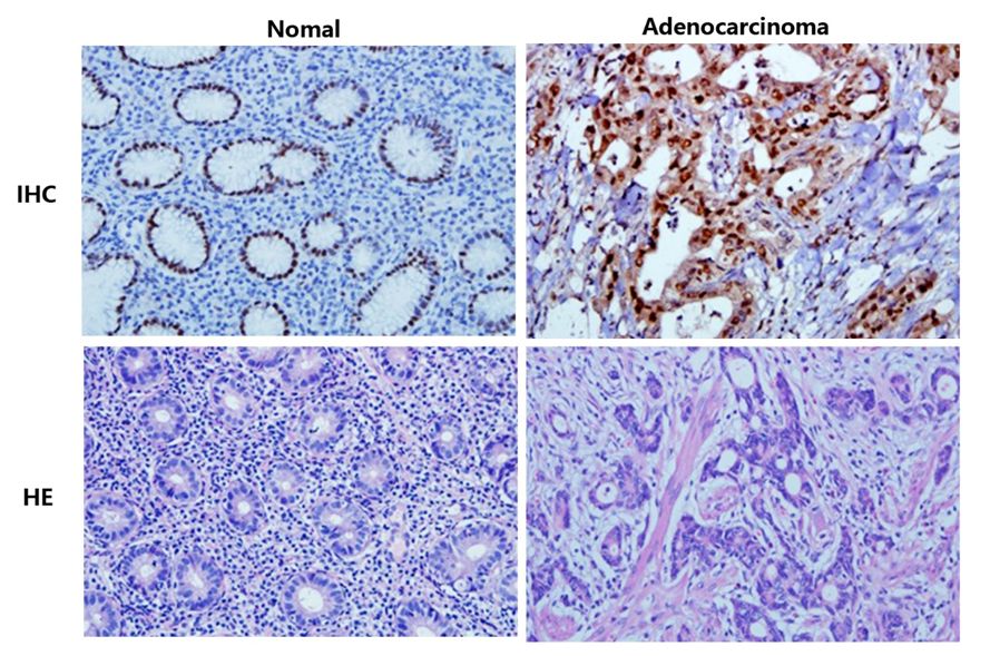
20190918-010.jpg

在一项研究中,研究者以体外合成肽链免疫兔所获得的CLDN18.2抗体,通过免疫组化技术对约130正常组织和400例肿瘤组织进行了检测。研究结果证实该CLDN18.2抗体能够可靠有效地在正常胃组织以及多种恶性肿瘤组织原位检出CLDN18.2蛋白。

除了基于免疫组化(IHC)的方法检测CLDN18.2蛋白之外,基于BaseScope技术还可以完成对翻译该蛋白的mRNA进行检测。RNA作为潜在的生物标志物,对于靶点的多维度检测具有重要的意义。检测mRNA能够克服不同剪接体导致蛋白质差异的影响,联合免疫组化即可以在两个维度,mRNA水平和蛋白质水平,完成对CLDN18.2的靶点检测,为指导CLDN18.2抗体治疗提供更加丰富的参考信息。


目前一种以CLDN18.2为靶点,名为IMAB362的单克隆IgG1抗体类靶向药物已完成II期临床。在I、II期临床试验中,IMAB362 单药及联合化疗药物治疗晚期胃食管癌和胃癌,均显示了良好的抗肿瘤活性及耐受性;2016年在ASCO年会上有研究报道,以IMAB362+标准化疗作为一线方案治疗的胃食管癌病例,相比于单纯进行化疗的病例,总生存期从8.4个月延长至13.2个月,死亡风险下降49%。此外,还有研究初步探讨了IMAB362应用于胰腺癌的治疗。

由此可见,CLDN18.2相关检测可为包括食管腺癌、胃癌、胰腺癌、肺腺癌、非小细胞肺癌、卵巢粘液癌等在内的多种恶性肿瘤,提供重要的临床辅助诊断及预后预测信息;也可为以CLDN18.2为靶点的单抗类药物供用药指导信息,具有极为重要的临床意义和广阔的应用前景。

北京天广实生物技术股份有限公司,是一家具有完善的抗体类药物开发和产业化技术体系的高科技公司,具备国内领先的单抗药物研发和产业化技术能力。北京旌准医疗科技有限公司是集研发、生产、注册、制作、销售和服务一体化的综合型企业,以临床需求为导向,以开发、引进、推广和应用先进的分子诊断产品和技术,致力于为临床医学提供精准化的分子诊断产品和服务为使命。目前,双方已达成协议,分工协作开发CLDN抗体和CLDN18.2体外诊断试剂。